Siamo proprio sicuri di quale sia la causa del nostro mal di testa? Dolori al collo e alle spalle? Vertigini e ronzii alle orecchie? Tutto questo potrebbe dipendere da molti fattori; tra questi i nostri denti, in particolare da come combaciano le due arcate dentarie tra loro, ovvero l’Occlusione. Quando i rapporti tra Mandibola e Mascella non sono adeguati, l’Odontoiatra è lo specialista indicato a diagnosticare quale sono le cause ed eventuali rimedi terapeutici prendendo in considerazione in particolare il rapporto tra i denti, forma, disposizione e allineamento.
Si parla di malocclusione dentale quando i denti dell'arcata superiore non sono perfettamente allineati con quelli dell'arcata inferiore. In altri termini, la malocclusione dentale è un anomalo rapporto tra i denti della mascella e quelli della mandibola. In condizioni fisiologiche, le arcate dentarie si relazionano attraverso rapporti armonici ed equilibrati per poter compiere adeguatamente le funzioni masticatorie e fonetiche. La malocclusione dentaria si manifesta proprio quando il suddetto equilibrio viene negato.
In simili circostanze, l'imperfetta occlusione delle arcate dentarie può esser causa di disarmonia funzionale o morfologica (strutturale), tale da ripercuotersi negativamente anche su altre sedi anatomiche. Basti pensare, ad esempio, che una malocclusione dentale - oltre a disturbi masticatori - può provocare anche cervicalgia (dolore cervicale), mal di schiena, mal di testa ed acufene (ronzii agli orecchi). Chiaramente, i sintomi dipendono dalla gravità della patologia; mentre le malocclusioni dentali dipendenti da abitudini comportamentali inadeguate, possono essere curate con apparecchi ortodontici mobili o fissi, le forme più gravi (subordinate ad anomalie genetiche) richiedono un intervento di ortodonzia correttiva.
Le malocclusioni dentali di moderata o media entità possono essere corrette con diverse modalità ed interventi specifici, primi tra tutti interventi di ortodonzia: applicazione di apparecchi ortodontici fissi o mobili , comprese le moderne tecnologie relative agli “allineatori in plastica trasparente”, per rimediare all'affollamento dei denti. È inoltre possibile correggere abitudini comportamentali viziate, per esempio applicazione di bite dentale per correggere il bruxismo ( possibile causa di malocclusione dentale).
Bruxismo, dal greco brùko indica letteralmente "digrignare i denti". A lungo andare, si danneggiano i denti e i muscoli facciali. Serrare e digrignare i denti durante il riposo notturno è piuttosto frequente: il fenomeno indica uno stato di forte nervosismo, spesso inconsapevole. E' un modo del tutto involontario per scaricare le tensioni accumulate durante il giorno. Il bruxismo può creare seri danni all’apparato dentale: oltre all'usura, può aumentare la sensibilità dei denti, a causa dello sfregamento. A lungo termine, il bruxismo può anche provocare delle modificazioni nell'aspetto della dentatura; infatti l'usura dei denti (che negli anni tendono ad accorciarsi) e gli altri danni da essi subiti danno luogo a sgradevoli inestetismi; col passare degli anni, la muscolatura facciale, molto sollecitata, dà luogo a fenomeni di ipertrofia modificando l'aspetto della mascella. Alla lunga inoltre i soggetti affetti da bruxismo possono avvertireaffaticamento dei muscoli della faccia, dolori alla testa, al collo e alle orecchie.
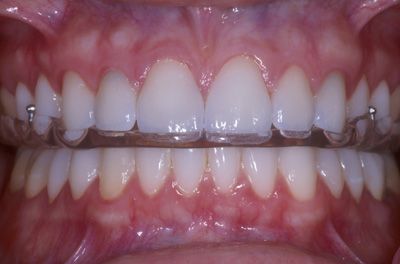
I Bite ( traduzione in italiano “Morso” ) sono quindi speciali dispositivi intraorali in grado di guidare e facilitare le forze masticatorie, riequilibrando quindi posizioni errate della mandibola e posture non corrette causate dalla malocclusione. Esistono diverse tipologie di bite dentali, ovviamente realizzate su misura per il paziente. Spesso, durante le terapie sopracitate, il Medico Odontoiatra può avvalersi della collaborazione di altre figure specialistiche, tra le quali Fisiatri, Fisioterapisti ,Osteopati.
Info: www.studio-bini.com























