Non avvertiva dolore, non immaginava ciò che stava crescendo silenziosamente dentro di lei. Una donna di 69 anni ha scoperto di essere affetta da un tumore ovarico di dimensioni eccezionali – paragonabili a quelle di una gravidanza a termine – solo quando il suo organismo ha improvvisamente iniziato a cedere.
La scoperta avvenuta a metà dicembre
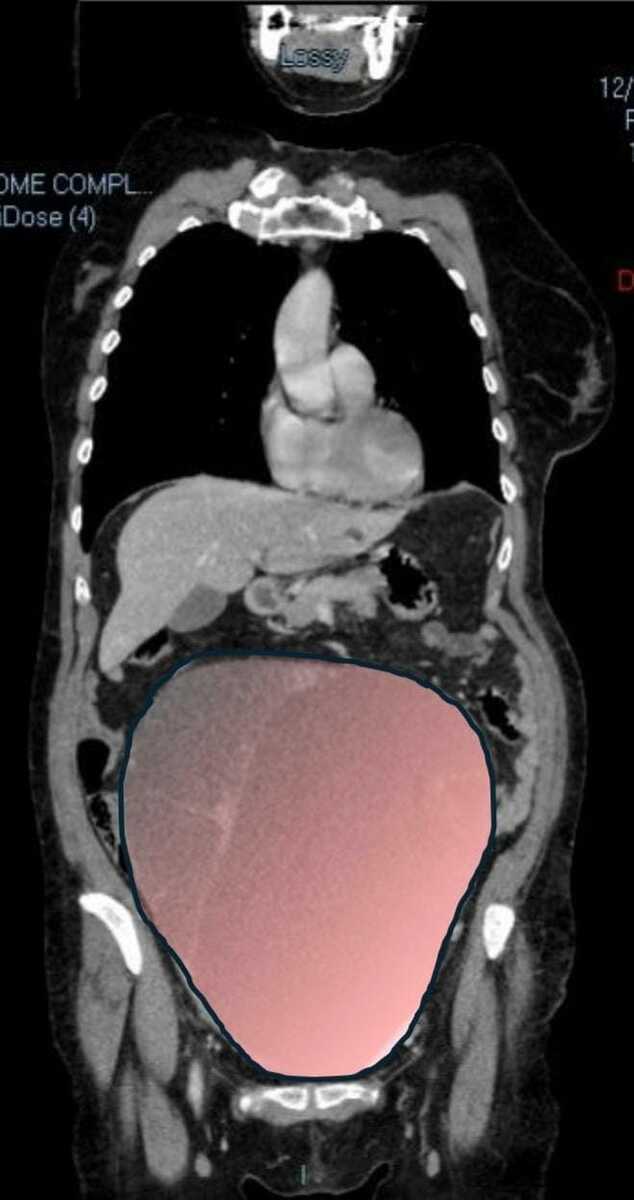
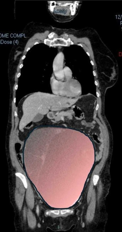
Per mesi la gigantesca cisti ovarica, con un diametro di circa 28 centimetri, è rimasta nascosta, senza dare segnali evidenti. La paziente non si era accorta di nulla. L’allarme è scattato quando la massa, associata alla presenza di una seconda neoplasia intestinale, ha iniziato a comprimere il colon, provocando sintomi acuti ed improvvisi fino ad una grave difficoltà intestinale non più ignorabile.
È a metà dicembre che la donna arriva all’attenzione dei sanitari. A prendere in carico il caso è la Chirurgia Ginecologica Mininvasiva dell'ospedale Sant’Anna (diretta dal dottor Paolo Petruzzelli). I tempi sono strettissimi, con le festività natalizie alle porte, ma la risposta è immediata: vengono attivati gli strumenti aziendali della Città della Salute e della Scienza di Torino per la presa in carico dei pazienti oncologici – il Centro Accoglienza e Servizi e il Gruppo Interdisciplinare di Cura – che consentono in pochi giorni di definire inquadramento diagnostico, stadiazione e percorso terapeutico.
Fondamentale in questa fase il contributo della Radiologia dell'ospedale Sant’Anna, che fornisce l’imaging preoperatorio indispensabile per affrontare un quadro clinico di eccezionale complessità.
L'intervento a poche ore dalla vigilia del Natale
Il 23 dicembre, a poche ore dalla vigilia di Natale, la paziente entra in sala operatoria. L’intervento, affrontato in regime di urgenza, nonostante le difficoltà logistiche legate al periodo festivo, dura circa sei ore, dalle ore 8,30 alle ore 14,30.
La gestione anestesiologica e rianimatoria è affidata alla Anestesia e Rianimazione, con un ruolo centrale della dottoressa Mariella Maio e della sua équipe – in particolare la dottoressa Milena Mortara e la dottoressa Mary Lo Cane – che segue la paziente nelle delicate fasi intraoperatorie, perioperatorie e nel successivo ricovero in terapia intensiva.
Durante l’intervento emerge tutta la gravità della situazione. La gigantesca neoplasia ovarica viene asportata: pesa circa 6 chilogrammi, con un volume paragonabile a quello di una gravidanza gemellare a termine. Ma non è l’unica minaccia. I sintomi più pericolosi sono legati alla sofferenza intestinale, che richiede un intervento immediato e coordinato di più specialisti.
Senza preavviso, viene coinvolta in sala operatoria la dottoressa Anna Opramolla della Gastroenterologia ed Endoscopia Digestiva dell'ospedale Regina Margherita, che esegue una procedura endoscopica intraoperatoria decisiva. Solo successivamente, grazie alle ripetute consulenze intraoperatorie dell’Anatomia Patologica, gestite dalla dottoressa Margherita Goia, viene confermata la natura neoplastica sia della massa ovarica sia della lesione del colon sigma, consentendo di orientare con precisione le scelte chirurgiche.
Il contributo di diversi medici e sanitari
A quel punto entra in campo la Chirurgia d’Urgenza dell'ospedale Molinette, con il dottor Mauro Santarelli, che procede alla necessaria radicalizzazione sul versante intestinale, completando l’intervento in modo efficace e risolutivo. Accanto ai professionisti coinvolti, ha avuto un ruolo centrale anche la dottoressa Michela Chiadò, operatrice senior della Chirurgia Mininvasiva, che ha seguito la paziente lungo l’intero percorso diagnostico-terapeutico e ha partecipato direttamente all’intervento, garantendo continuità assistenziale. Importante anche il contributo degli specializzandi, tra cui la dottoressa Margherita Di Rienzo.
Un intervento che ha letteralmente salvato la vita alla donna, reso possibile dal lavoro corale di ginecologi oncologi, chirurghi, anestesisti, gastroenterologi, anatomopatologi, radiologi, infermieri e operatori sanitari, capaci di coordinarsi in tempi rapidissimi e trasformare giorni di attesa e timore in una storia di speranza.
I commenti
«Sono casi rari, ma emblematici – spiegano i professionisti coinvolti ed il Direttore sanitario di presidio Umberto Fiandra – perché dimostrano come tempestività, competenza e lavoro di squadra possano fare la differenza anche in regime di urgenza».
Il dottor Paolo Petruzzelli ha definito il caso un evento “normalmente eccezionale”. Una storia di Natale vissuta in corsia, tra le luci della sala operatoria e decisioni cruciali, che ha permesso a una donna di tornare a guardare al futuro e ha ricordato, ancora una volta, come la forza di una sanità efficiente risieda soprattutto nelle persone che rendono ciò possibile ogni giorno.
“Una storia a lieto fine che ancora una volta diventa esempio delle eccellenze multidisciplinari della nostra Città della Salute e della Scienza. Ringrazio i nostri professionisti, che hanno reso possibile tutto ciò. Il valore aggiunto espresso dalla Città della Salute e della Scienza di Torino è consistito nella possibilità di schierare contemporaneamente tutte le competenze mediche e sanitarie di tutte le specialità che erano necessarie per trattare nel migliore dei modi le diverse sfaccettature di questo particolare caso clinico. In questi giorni di festività, ancora una volta il mio pensiero va a tutti i pazienti che vivono le loro fragilità all’interno dei nostri ospedali e a tutti gli operatori che li accolgono e li assistono in maniera amorevole" dichiara Livio Tranchida (Direttore generale CDSS).







